图文
新技术|延边大学附属医院(延边医院)心血管医学中心冠心病治疗部成功开展冠状动脉旋磨术
2025-11-21 16:43 延边广电全媒体新闻采编中心

 

 

日前,延边大学附属医院(延边医院)心血管诊疗中心冠心病治疗部,为一名冠状动脉重度钙化狭窄病变患者,成功进行了冠状动脉旋磨术及支架植入术。此项技术的开展填补了我州技术空白,也代表着医院在重度钙化狭窄病变治疗领域实现了技术新突破。

冠状动脉钙化是指钙盐在冠状动脉壁上沉积的过程,就像血管壁上长出了“石头”。当钙盐沉积量较多,钙化程度严重时,就称为冠状动脉重度钙化。这种情况会导致冠状动脉管腔狭窄,影响心脏的血液供应。

 

 

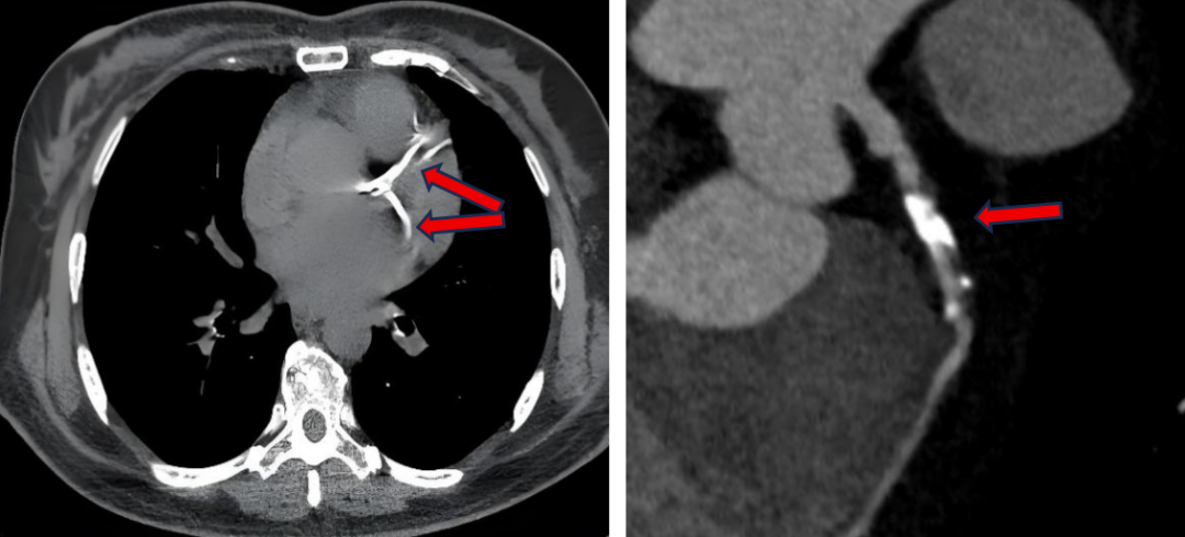
注:胸部CT及冠状动脉CTA上表现,红色箭头指向发亮发白部分为钙化

冠状动脉钙化病变介入手术难点

冠状动脉钙化介入手术面临诸多挑战,主要难点体现在以下几个方面:

血管顺应性差,球囊扩张困难:重度钙化的冠状动脉壁质地坚硬,弹性显著降低,导致血管顺应性差。在球囊扩张过程中,需要更大的压力才能使血管壁扩张,但即便如此,也可能难以达到理想的扩张效果,甚至可能出现球囊无法充分膨胀的情况,影响后续支架的植入和贴壁。

支架输送及贴壁不良风险高:钙化病变处的血管管腔可能不规则,加上血管壁坚硬,会增加支架输送的阻力,导致支架难以顺利到达病变部位。同时,即使支架成功输送到位,由于血管壁缺乏弹性,支架也可能无法紧密贴壁,出现支架与血管壁之间的间隙,这不仅会影响手术效果,还可能增加血栓形成、支架内再狭窄等并发症的发生风险。

血管损伤并发症风险增加:在处理严重钙化病变时,如进行旋磨术等预处理操作,可能会对血管壁造成一定的损伤,如血管内膜撕裂、夹层形成等。此外,球囊过度扩张也可能导致血管破裂等严重并发症,给患者的生命安全带来威胁。

冠状动脉旋磨术介绍

冠状动脉旋磨术是针对冠状动脉重度钙化病变的一种重要预处理技术,其核心原理是利用高速旋转的旋磨头(转速通常可达15万—20万转/分钟)将冠状动脉壁上坚硬的钙化斑块研磨成微小的颗粒(直径通常小于5微米),这些颗粒会被机体的单核-巨噬细胞系统清除,从而达到去除钙化负荷、改善血管顺应性、为后续支架植入创造条件的目的。

 

 

 

 

一名72岁男性患者,因“反复活动后胸闷、胸痛”就诊于当地医院。冠脉造影检查提示,其左主干末端重度狭窄且合并重度钙化,手术难度与风险极高,遂经当地医院推荐转至我院冠心病治疗部。

心血管医学中心主任成宪武教授始终重视科室新技术的探索与应用,积极鼓励拓展各类前沿诊疗项目。科室团队对患者病情进行全面细致分析后,决定为其实施冠状动脉旋磨术。

11月12日下午,在冠心病治疗部主任许文虎的带领下,其团队成员金雪英副主任医师、辛明龙主治医师密切协作,自主成功完成了我州首例冠状动脉旋磨术。

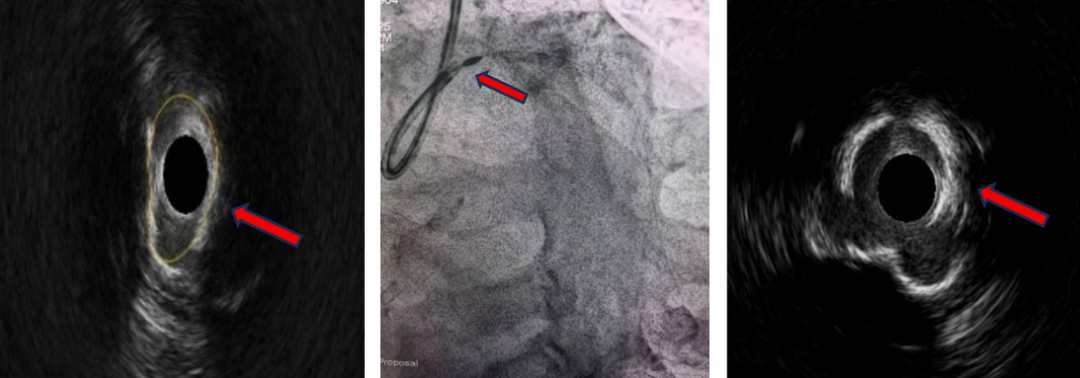
术中影像

 

 

术前造影图像

 

   术后造影图像

 

 

 

术中血管内超声图像及旋磨,可见白色钙化环被磨薄、管腔扩大,钙化环松解

近年来,医院依托国家临床重点专科建设平台,以成宪武教授为首的心血管医学中心团队,在扎实做好常见病、多发病规范化诊疗的基础上,持续积极拓展业务范围。此次团队在重度钙化病变介入治疗领域再度取得突破,既是科室的又一项重要技术拓展,也标志着科室医疗服务水平再创新高,更为科室国家级临床重点专科的深化建设持续注入强劲动力。

专家简介

 

 

许文虎

心血管医学中心冠心病治疗部主任,主任医师

专业特长

主要从事冠心病,结构性心脏病、先天性心脏病、大血管及外周血管介入诊疗技术。

中国医师协会胸痛专业委员会第二届委员会胸痛影像与介入学组委员,吉林省中西医结合学会第一届心血管介入与康复专业委员会副主任委员,吉林省中西医结合学会第二届心衰防治与康复专业委员会副主任委员,吉林省医疗保障协会第一届结构性心脏病专业委员会常务委员,吉林省预防医学会第二届心脏病预防与控制专业委员会常务委员,吉林省结构性心脏病和心律失常介入质控中心专家委员会委员,吉林省卫生健康委健康科普专家,中国健康促进与教育协会心肺血管健康分会委员,延边州医学会心血管分会秘书长。