图文
破局复发 精准制胜|延边大学附属医院(延边医院)神经外科州内率先引入复合手术策略 破解慢性硬膜下血肿复发难题
2026-01-19 16:40 延边广电全媒体新闻采编中心

慢性硬膜下血肿作为神经外科常见疾病,其术后复发问题长期困扰临床诊疗。近日,延边大学附属医院(延边医院)神经外科主任黄宪团队率先在州内开展“颅骨钻孔引流术+经导管脑膜中动脉栓塞术”复合治疗策略,成功为多名患者精准施治,有效降低了血肿复发风险,为区域内复杂慢性硬膜下血肿诊疗提供了新路径。

病例实录

病例一:

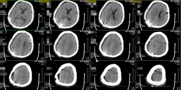
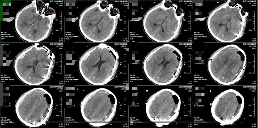
56岁男性患者,既往因患肝癌行手术治疗及脾脏切除术等。该患者因“突发意识不清、右侧瞳孔散大约1小时”为主诉于急诊入院。头部CT示右额颞顶枕部慢性硬膜下血肿,右侧侧脑室受压,伴中线结构左移>1.5cm,脑疝形成!左侧额部慢性硬膜下血肿。血栓弹力图:R(凝血因子活性)3.4min(偏低,5-10min为正常值),提示凝血功能异常,可能增加出血风险。

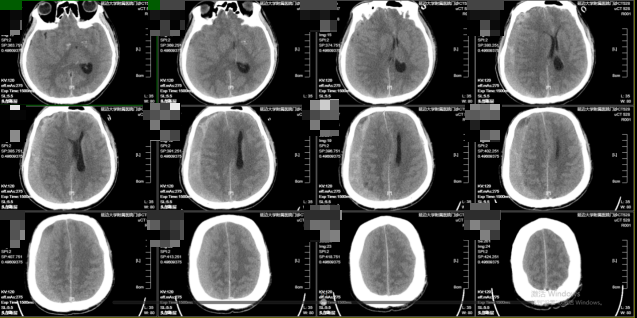
考虑患者高龄、基础状态差,特别是既往肝癌手术(影响凝血因子合成)及脾脏切除(可导致血小板计数及功能异常)导致的凝血功能紊乱,保守治疗风险极高且效果较差。黄宪主任医师、马吉男主治医师团队果断行右侧颅骨钻孔引流术(左侧给予保守治疗),术后瞳孔回缩,意识转清。术后密切监测病情变化。考虑其脾切除后存在凝血机制异常,血肿复发概率高,与家属沟通后进一步行经导管双侧脑膜中动脉(MMA)栓塞术,从而降低复发率。术后神清语明,四肢无瘫,顺利出院。1个月后复查头部CT右侧慢性硬膜下血肿明显减少,左侧慢性硬膜下血肿基本吸收。四肢肢体肌力V级。事实证明,经导管双侧脑膜中动脉(MMA)栓塞术治疗慢性硬膜下血肿效果显著,且依据文献报道可将复发率降至5%以下。

 

 

图1入院头部CT

 

 

图2钻孔引流术后

 

 

 

 

图3经导管脑膜中动脉(MMA)栓塞术后

 

 

图4、1个月后复查头部CT

病例二:

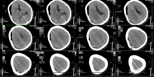
65岁男性患者,头痛头晕伴右侧肢体活动不灵约3天。头部CT示双侧额顶部慢性硬膜下血肿。黄宪主任医师、马吉男主治医师团队先行经导管脑膜中动脉(MMA)栓塞术,术中造影显示异常增生血管消失。接台行双侧颅骨钻孔引流术,术中见血肿量明显减少。术后恢复顺利,头痛消失,肌力改善,随访当地医院头部CT示无复发。

 

 

图5经导管脑膜中动脉(MMA)栓塞术+钻孔引流术后

破局复发困境:复合治疗策略的精准“双击”

在神经外科领域,慢性硬膜下血肿(CSDH)这一“沉默的杀手”始终挑战着临床医师的智慧。其迁延复发特性,如同悬于患者颅内的达摩克利斯之剑。而今,我院神经外科团队锐意革新,在州内率先实施“颅骨钻孔引流术”与“经导管脑膜中动脉(MMA)栓塞术”的复合手术治疗,以“双术叠加”之力,实现急性减压与根治防复发的统一,在区域医疗高地竖起一面技术精进的旗帜!

我院神经外科团队,基于深厚显微与血管内技术底蕴,首创性提出“个体化复合手术策略”治疗慢性硬膜下血肿:

1.生命至上,急症优先。

对昏迷、脑疝等危重患者,首选颅骨钻孔引流术。团队摒弃传统大开颅,采用精巧微创骨窗(约1.5cm),精准切开脑膜清除血肿,为生命赢得时间。

2.源头狙击,预防复发。

待患者生命体征平稳后,接着进行经导管脑膜中动脉栓塞术。在透视下,超选插管至责任MMA分支,以Onyx胶等材料精准封堵异常血管网,扼杀复发“种子”。

3.主动出击,双重保障。

对于无昏迷患者,则先行MMA栓塞术断其“后路”,选择性行钻孔引流术。这种模式既根除复发隐患,又及时解除占位效应。

这一策略的精髓在于:凭借团队精湛的显微外科技术与娴熟的神经介入功底,在常规手术室与介入导管室间实现患者的安全流转与治疗的衔接,将“复合手术”的理念精髓,转化为可及、高效的临床实践!

技术精粹:微创理念贯穿始终

颅骨钻孔引流术:依托精细解剖知识,通过优化小骨窗及精准脑膜切开彻底清除血肿,创伤显著减小。

经导管颅内脑膜中动脉栓塞术:应用细微导管技术,在路图和超声造影导航下精准栓塞,避免误栓正常血管。

我院神经外科此次创新实践,不仅是技术层面的精进,更是治疗理念的革新——以患者为中心,以疗效为导向,灵活整合现有优势技术资源,提供治疗新路径,是科室在脑血管病微创治疗领域的重要突破。

黄宪表示:“未来,科室将持续深耕脑血管病微创治疗领域,精进‘清除血肿+介入栓塞’序贯技术体系,以分秒必争的救治速度和优化方案,为患者筑牢生命健康防线!”